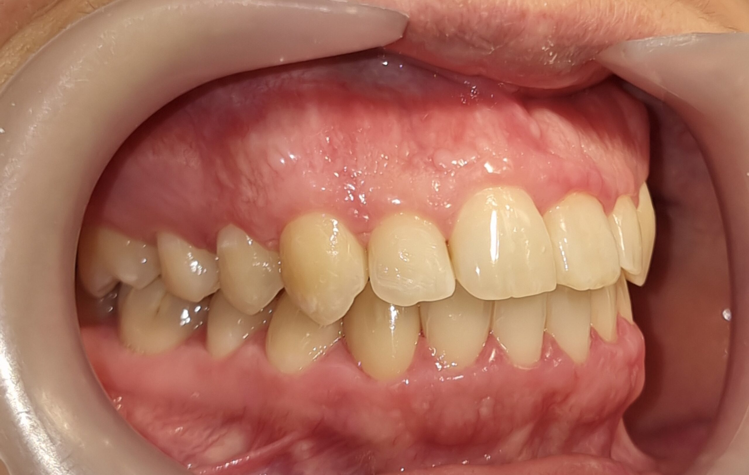
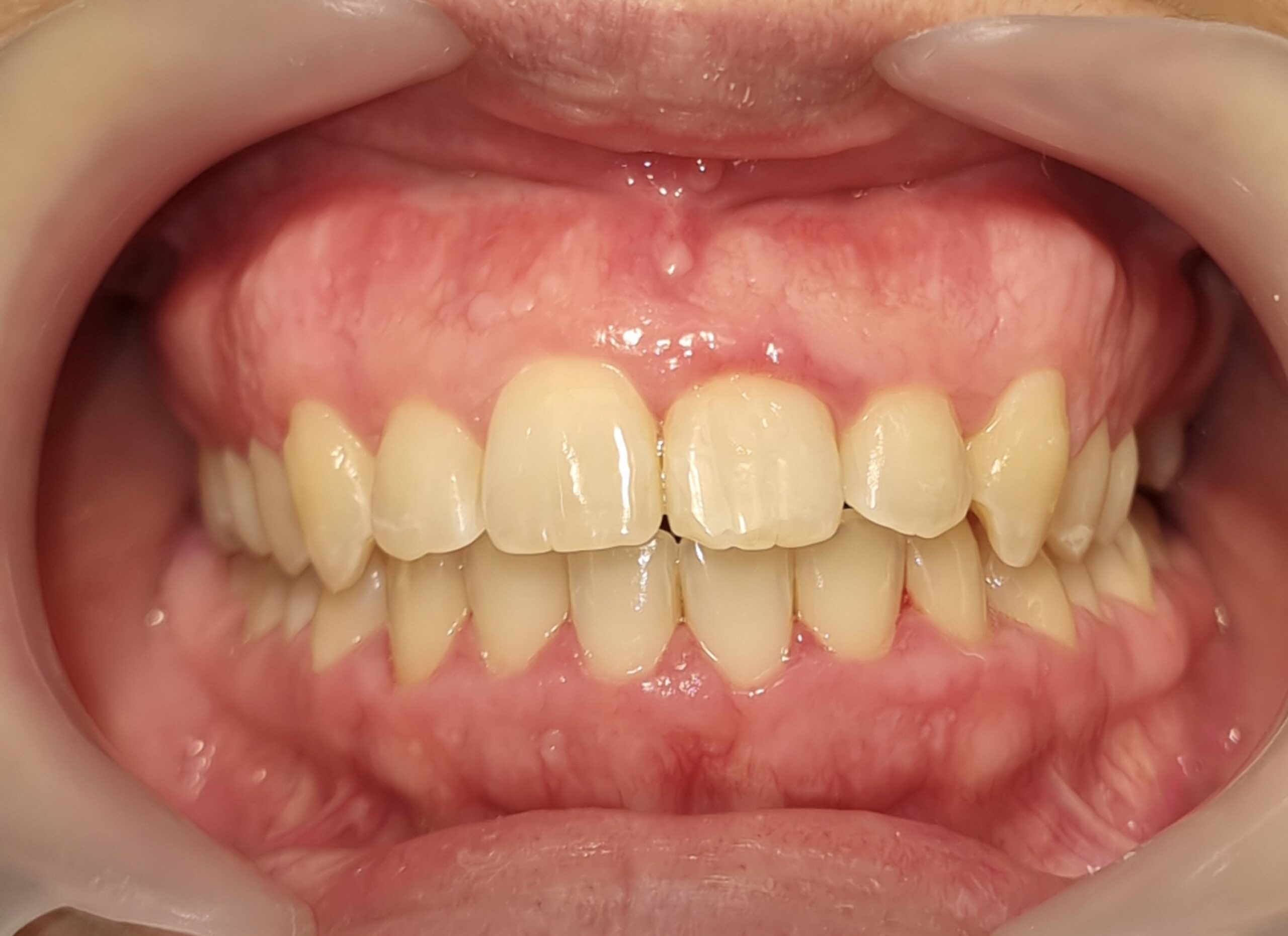
Class I. harapás
Kezelés célja
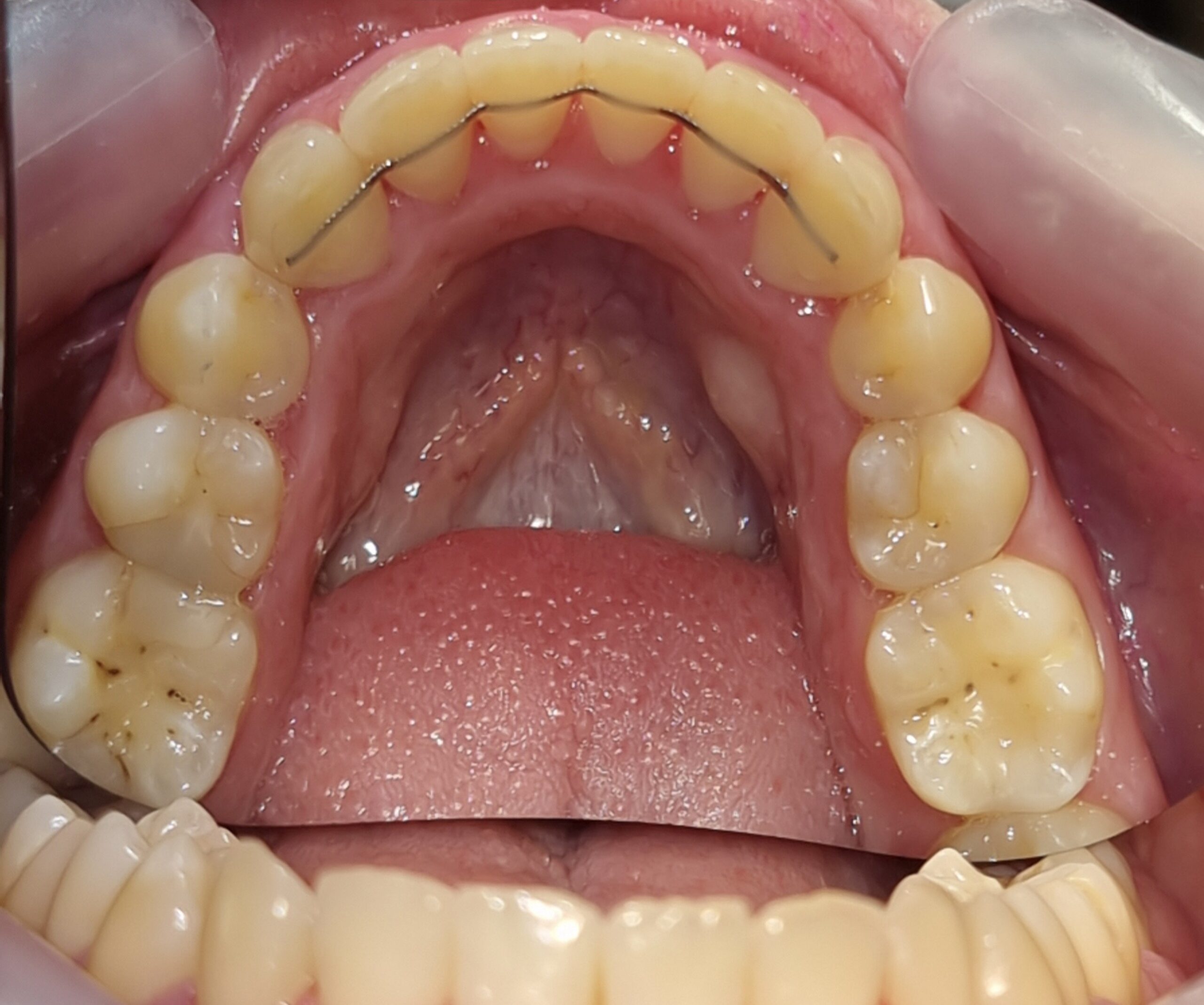
21 fog keresztharásának megoldása, valamint az alsó felső fogak torlódásának megoldása volt a kezelés elsődlegese célja. A páciens Class I. harapással rendelkezett.
Páciens információ
| Kora | 40 éves |
| Neme | Nő |
Alapkezelés hossza
| Felső sín | 22 db |
| Alsó sín | 6 db |
Kezelés
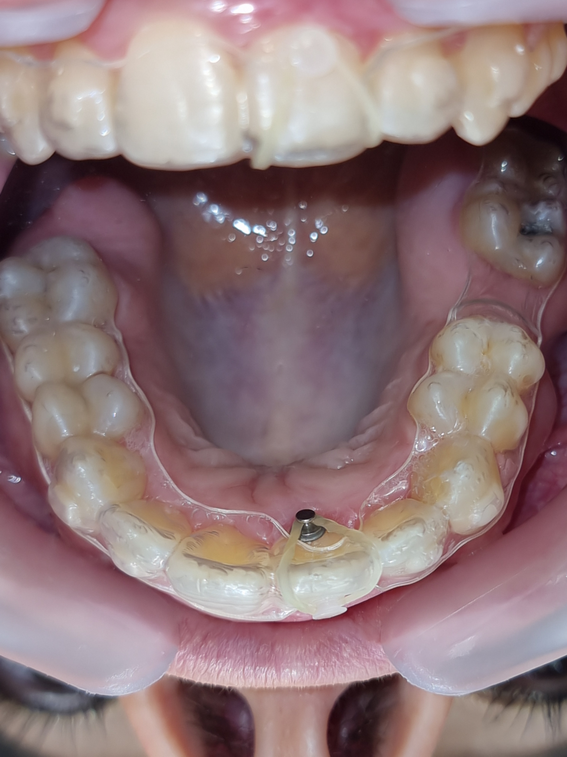
A keresztharapás korrigálásához harapás emelés volt szükséges, ezért az alsó fogívre készült sínekbe terveztük a harapásemelőket. A felső fogív kezelése hosszabb ideig tartott, az alsó fogíven végig passzív harapás emelő síneket alkalmaztak. Minimális expanzió a laterál és front régióban.
Igazító kezelés
- Felső 3 sínes korrekció, ahol még minimális nivellálásra volt szükség
- A 21 fog extrudálására a keresztharapás megoldását követően volt szükség. A Felső fogívre 1 db passzív sín készült, a 21-es fog extrudálása intermax gumizással történt.
